通いやすい全国132医院※3
ミュゼ
ホワイトニング
MUSEE WHITENING
ミュゼ会員さま
初回限定半額 ※2
20本11,000円↓
5,500
円
※1
(税込)
専用クーポンは
LINE友だち登録から!
実は
生活習慣
加齢しかも自分ではなかなか黄ばみを落とすことができません…
歯科医院での
ホワイトニングが
効果的です。
医療機関でしか
使用できない
薬剤による
本格ホワイトニングが
※自由診療です。公的保険は適用されません。
ポリリンホワイトニングの場合(本数別例(税込)12本6,600円 20本11,000円)最少本数など、医院によりご利用条件を設定している場合がございます。ご予約前にご確認ください。
1本
550円※
(税込)で
できます!
だから
敷居の高いイメージの
医療ホワイトニング(オフィスホワイトニング)が
試しやすい!
REASON
まだあります
ミュゼホワイトニングで採用
過酸化水素(漂白作用をもつホワイトニング剤)に、短鎖分割ポリリン酸Naという生体成分を加えることにより、従来のホワイトニングの欠点を克服した新時代の施術方法です!
※ 痛みや効果には個人差があります。
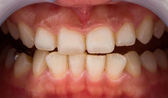
EXAMPLE
before
after
| 施術回数 | : | 1回 |
|---|---|---|
| 施術名 | : | ポリリンホワイトニング |
| 費用 | : | 1回20本(初回7,700円)※ |
| 治療期間 | : | 1日/通院回数:1回 |
| 治療のリスク | : | 一般的な知覚過敏・疼痛・冷水による痛み・歯の色ムラを生じる事があります。 |
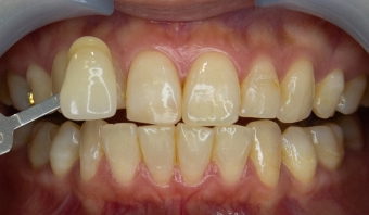
before
after
| 施術回数 | : | 5回(月に1.5回程度のご来院) |
|---|---|---|
| 施術名 | : | ポリリンホワイトニング |
| 費用 | : | 1回20本(初回7,700円+2回目以降11,000円)合計51,700円(税込)※ |
| 治療期間 | : | 2ヶ月程度/通院回数:5回 |
| 治療のリスク | : | 一般的な知覚過敏・疼痛・冷水による痛み・歯の色ムラを生じる事があります。 |
さらに
輝く歯で笑顔の毎日を!
MENU
初めての方限定で、お一人様につき、
いずれか 1 つのメニューをご利用いただけます。
※ 「LINE価格」のご利用には、ミュゼホワイトニングLINEアカウントの友だち登録が必要です。
01
\ミュゼ会員さま/
お試しホワイトニング
20
LINE価格※
5,500円(税込)
(20本施術した場合:1本あたり275円)
※ミュゼ会員様/専用クーポン利用の場合
一般価格
8,800円(税込)
(20本施術した場合:1本あたり440円)
02
\ミュゼ会員さま/
お試しホワイトニング
20リッチ
LINE価格※
8,800円(税込)
※ミュゼ会員様/専用クーポン利用の場合
一般価格
13,200円(税込)
03
\ミュゼ会員さま/
お試しホワイトニング
20リッチ+Home
LINE価格※
11,000円(税込)
※ミュゼ会員様/専用クーポン利用の場合
一般価格
15,400円(税込)
※ ポリリンジェル=ポリリン酸配合ホワイトニング歯磨き剤(お持ち帰り用)
<上記メニューについて>
歯科医院の施術による「分割ポリリン酸」「過酸化水素」(漂白成分)を使用した、痛みの少ない本格ホワイトニング(ブリーチング)です。
1本550円(税込)
本数別例(税込)
12本 6,600円・20本 11,000円
<上記メニューについて>
ポリリンコーティングにより汚れをつきにくくし、ホワイトニングの効果を持続させます。
1本220円(税込)
本数別例(税込)
12本 2,640円・20本 4,400円
<上記メニューについて>
STEP
ここではポリリンホワイトニングを行う際の
一般的な施術の流れを簡単にご紹介します


01
お口の状態や白さの目標、不安や疑問点などをお伺いします。
※ 医院により、独自のご利用条件(別途クリーニング必須/施術が別日など)を設定している場合があります。事前に各医院へご確認ください。


02
施術前後に比較するための歯を決め、専用のガイドを使用し、施術前の歯の色を記録しておきます。


03
歯面の清掃・唇の保護クリームを塗ったあと、お口を開く器具を装着し、歯茎に保護剤を塗布します。


04
ホワイトニングする歯に薬剤(ジェル)を塗布したあと、専用のライトを照射し、時間をおきます。


05
事前に記録した歯で、施術前後の違いを確認。